Por que fazer uma ressonância magnética?
E se o seu médico prescreveu uma ressonância magnética (MRI)? Por que não fazer apenas um raio-X ou uma tomografia…
Tudo Sobre radiologia e clínicas de imagem
E se o seu médico prescreveu uma ressonância magnética (MRI)? Por que não fazer apenas um raio-X ou uma tomografia…
O que é Tomografia Computadorizada Vamos falar hoje sobre tomografia computadorizada. Esse exame cujo atividade é semelhante ao raio X…
O que é ultrassonografia A ultrassonografia é também conhecida por ecografia e ultrassom, é um exame de diagnóstico que serve…
O que é ressonância magnética? A ressonância magnética é uma técnica de imagem médica usada em radiologia para formar imagens…
A tomografia por emissão de pósitrons, ou PET, é um procedimento popular realizado no Departamento de Medicina Nuclear. A radiação para…
O que é o raio-x Raio-x é decorrente que a radiação X (composta por raios X) é uma forma de radiação eletromagnética. Essas radiações são…
Está se perguntando o que é hemodinâmica? Conhecida como cateterismo, a hemodinâmica é um serviço especializado que por meio de…
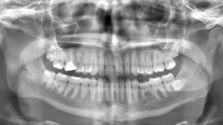
O que é radiologia odontológica? A radiologia odontológica é de suma importância para saúde bucal. Ela é a forma mais…
O que é radiologia industrial? A radiografia industrial é uma das técnicas nucleares mais empregadas na indústria. Ela faz uso…
O marketing digital não segue uma fórmula fixa, e isso fica evidente quando uma empresa tenta gerenciar tudo por conta própria. A cada dia, surgem novas tecnologias e formas de impactar potenciais clientes, tornando a venda para antigos consumidores um desafio dinâmico. Embora seja tentador seguir todas as tendências emergentes, é crucial compreendê-las antes de aplicá-las, pois adotá-las sem critério pode ser mais prejudicial do que benéfico. Por isso, conhecer as principais tendências de marketing digital para 2024 é essencial para fazer escolhas estratégicas que realmente impulsionem suas vendas.
Uma das tendências mais importantes a ser considerada é a centralidade da experiência do usuário (UX). O Google, nos últimos anos, tem focado em atualizações que priorizam a qualidade da experiência do usuário, destacando a importância do SEO. No entanto, além de otimizar o conteúdo para melhores classificações nos mecanismos de busca, é fundamental garantir que o site ofereça uma navegação intuitiva, carregue rapidamente e forneça conteúdos úteis e acessíveis ao público-alvo. Com isso em mente, a acessibilidade e a clareza de todo o conteúdo publicado, seja em anúncios, e-mails ou postagens, devem ser priorizadas para melhorar a jornada do cliente e aumentar as chances de conversão e fidelização.
Outra tendência em ascensão é a aproximação entre marketing e vendas, uma união conhecida como “vendarketing” ou “smarketing”. Essa integração reflete a necessidade crescente de uma colaboração mais estreita entre essas áreas, que historicamente operavam de maneira segregada. A combinação dessas funções sob uma única direção está se tornando mais comum, com a expectativa de que em breve se torne uma prática padrão no setor. A integração entre marketing e vendas pode levar a estratégias mais coesas e eficazes, aproveitando a sinergia entre as equipes para maximizar os resultados e adaptar-se às novas demandas do mercado digital.
A ressonância magnética (RM) é uma técnica avançada de imagem que emprega campos magnéticos e ondas de rádio. Isso permite a produção de imagens detalhadas dos órgãos e tecidos do corpo humano.
Graduação Tecnológica em Radiologia: Desvendando os Conhecimentos Essenciais A graduação tecnológica em Radiologia é um curso especializado que capacita profissionais…
Explorando os Mistérios da Ressonância Magnética na Medicina Moderna A ressonância magnética, um avanço tecnológico crucial na área médica, é…
Para que serve o curso de fraturas? Traumatologia é o termo que geralmente engloba o estudo e o tratamento de…
O mercado de cuidados de saúde em casa na Índia é atualmente estimado em 2 bilhões a 4 bilhões de…
Que tal conhecer um pouco mais sobre o tubo de ressonância magnética e suas funcionalidades. O tubo de ressonância magnética…
Uma das principais razões pelas quais os novos empreendimentos falham é devido à falta de financiamento financeiro para fazer o…
Óculos de segurança são uma necessidade para quem trabalha em um local onde há potencial para lesões oculares. É importante…