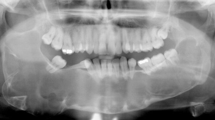
A importância de obter um raio X dental
Todo mundo sabe que fazer exames dentários regulares é importante para a saúde de seus dentes e gengivas, mas que…
Tudo Sobre radiologia e clínicas de imagem
Todo mundo sabe que fazer exames dentários regulares é importante para a saúde de seus dentes e gengivas, mas que…
Radiografias digitais estão se tornando o padrão de atendimento em odontologia. Atualmente, existem muitos sistemas finos em uso por diversos fabricantes.…
Poucas doenças podem ser consideradas como assassinos silenciosos; significado, condições que podem lentamente levar sua vida sem que você saiba. A…
O uso de raios-X é muito comum para determinar problemas no corpo humano. Raios-X têm seus prós e contras. Neste artigo,…
A fluoroscopia é um tipo de raio-X que ajuda a equipe médica do hospital a ver o movimento dentro do…
O que é o raio-x Raio-x é decorrente que a radiação X (composta por raios X) é uma forma de radiação eletromagnética. Essas radiações são…