1 de outubro de 2018
Mesotelioma
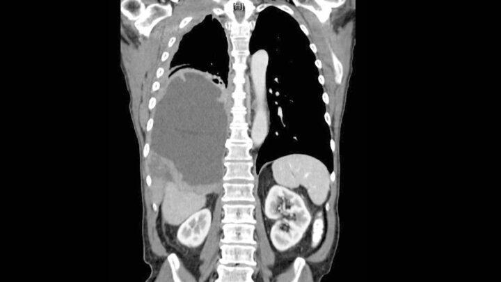
O mesotelioma é um tumor incomum decorrente do revestimento mesotelial de cavidades serosas. É mais freqüentemente na cavidade pleural (cobertura…
Tudo Sobre radiologia e clínicas de imagem
O mesotelioma é um tumor incomum decorrente do revestimento mesotelial de cavidades serosas. É mais freqüentemente na cavidade pleural (cobertura…
Como todas as formas de câncer maligno, o total do custo do tratamento do mesotelioma é muito caro. O atendimento de…
O mesotelioma é uma forma rara e mortal de câncer. É causada pela exposição prolongada ao amianto. Muitas pessoas foram afetadas pelo…